Cerca Centro

Inserisci un indirizzo e trova la sede più vicina

Focus on

USI InForma

Come Prevenire i Danni alla Circolazione: rimedi e consigli utili

USI - Dieta Vegana: quando sceglierla, benefici, rischi e indicazioni per adulti e bambini

Dieta Vegana: quando sceglierla, benefici, rischi e indicazioni per adulti e bambini

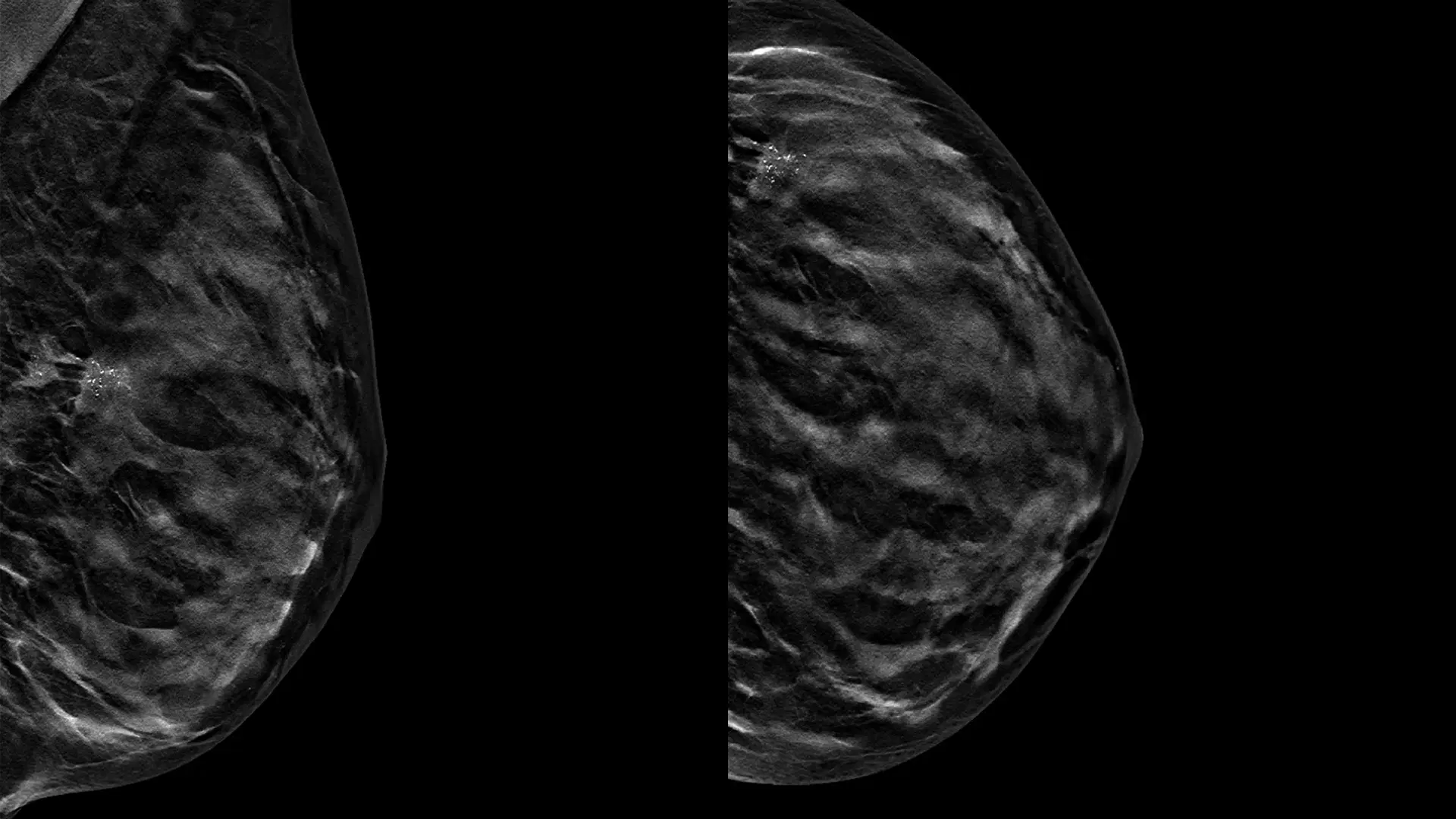
USI - Mammografia con Mezzo di Contrasto: cos'è, quando si esegue ed i vantaggi

Mammografia con Mezzo di Contrasto: cos'è, quando si esegue ed i vantaggi

USI - Risonanza Magnetica 3T

Risonanza Magnetica 3T

USI - Dieta Vegana: quando sceglierla, benefici, rischi e indicazioni per adulti e bambini

Dieta Vegana: quando sceglierla, benefici, rischi e indicazioni per adulti e bambini

USI - Mammografia con Mezzo di Contrasto: cos'è, quando si esegue ed i vantaggi

Mammografia con Mezzo di Contrasto: cos'è, quando si esegue ed i vantaggi

USI - Risonanza Magnetica 3T

Risonanza Magnetica 3T

News

Notizie

Giornata Promozionale Tiroide e Alimentazione a USI VALDERA-PONSACCO: un binomio essenziale per la salute

Piccola nelle dimensioni ma centrale per l’equilibrio dell’organismo, la tiroide è una...

Notizie

Il Prof. Manetti entra a far parte del nostro team: un’eccellenza in Chirurgia della Parete Addominale

Siamo lieti di annunciare l’ingresso nel nostro gruppo del Prof. Gabriele Manetti...

Salute

A USI PONSACCO il nuovo servizio di Dermatologia: tecnologia, prevenzione e centralità del paziente

Il Gruppo USI da Marzo mette a disposizione specialisti dermatologi e tecnologie diagnostiche...

Salute

Lipoproteina(a): ruolo clinico e indicazioni al dosaggio secondo le più recenti linee guida ESC/EAS

La Lipoproteina(a) [Lp(a)] è oggi riconosciuta come uno dei principali determinanti genetici e...

Notizie

Il Prof. Alejandro Martín Sanchez entra nel Gruppo USI: nuovo riferimento di eccellenza per la chirurgia senologica a Roma

Il Gruppo USI rafforza il proprio impegno nella prevenzione, diagnosi e cura delle patologie...

Salute

Nuovo Servizio al Centro USI Eur - Serafico: consulenze specialistiche in Infertilità di Coppia e Procreazione Medicalmente Assistita (PMA)

Il Centro USI Eur - Serafico amplia la propria offerta di servizi dedicati alla salute della donna...

Salute

Fegato grasso (steatosi epatica): cause, rischi e nuove prospettive di prevenzione

Il fegato grasso, o steatosi epatica, è oggi una delle patologie epatologiche più diffuse e in...

Notizie

Nutrizione ed Endocrinologia in un unico percorso presso la sede di USI Valdera-Ponsacco

Gentile Paziente,siamo lieti di annunciare la nascita, presso USI Valdera–Ponsacco, del nuovo...

Salute

TC Cone Beam 3D: l'evoluzione della TAC nel tuo sorriso

La Tac Cone beam 3D è una moderna metodologia diagnostica che consente di riprodurre sezioni...

Alimentazione

Alimenti Naturali e di Qualità: i Soldati Scelti contro il Tumore

Una corretta alimentazione non è solo fondamentale per il benessere quotidiano ma rappresenta...

Notizie

Campus Salute Roma: la prevenzione nel cuore della città

“Campus Salute Roma” è un evento dedicato alla prevenzione e alla salute, allestito nel cuore...

Salute

USI Lido di Ostia: la nuova Endoscopia ai tempi della Intelligenza Artificiale, il “CAD-EYE” nella colonscopia tradizionale

La colonscopia è un esame endoscopico con cui è possibile osservare la superficie interna del...

Convenzioni assicurative

La tua compagnia è assicurata con i centri USI?

Unione Sanitaria Internazionale S.p.A. è convenzionata con le più importanti Compagnie Assicuratrici e con primari Istituti di Credito.
convenzionata
non convezionata
Cosa sapere in vista di un esame
Siete convenzionati con il Servizio Sanitario Nazionale?

Si. Il Gruppo USI è convenzionato con il Servizio Sanitario Nazionale per le attività di:

  • Analisi cliniche
  • Cardiologia
  • Fisioterapia
  • Medicina nucleare
  • Radiologia
  • Radioterapia
  • Risonanza Magnetica Nucleare

Per effettuare prestazioni tramite il Servizio Sanitario Nazionale è necessario presentarsi con l’impegnativa del medico curante.

Avete delle convenzioni con società o associazioni private?

Il Gruppo USI è convenzionato con i maggiori Enti Assicurativi, Casse Mutue e Fondi Sanitari Integrati. Scopri le nostre convenzioni al link CONVENZIONI MEDICHE

Quanto tempo è necessario per avere il referto dell'esame del sangue e dove posso ritirarlo?

Per garantire una diagnosi precisa i referti degli esami di base vengono consegnati, in media, entro il giorno successivo dal prelievo. I tempi di refertazione per gli esami specifici dipendono dalla tipologia dell'esame stesso. I referti possono essere ritirati:

  • consultando l'archivio dei referti on-line sul sito;
  • presso il centro dove si è effettuato l’esame;
  • presso qualsiasi centro U.S.I. se preventivamente richiesto durante l’accettazione.

USI Card

Sconti e agevolazioni per i nostri pazienti

La USI Card permette di ottenere sconti e agevolazioni sulle tariffe delle prestazioni specialistiche e degli esami non convenzionati effettuati in tutti i centri USI.

Scopri come ottenerla
USI CARD - banner
USI CARD - banner
USI Newsletter
Non perdere le nostre news

Iscriviti alla nostra newsletter, riceverai mensilmente informazioni mediche, approfondimenti, consigli, campagne di prevenzione e promozioni sui servizi USI

USI CARD - banner
USI CARD - banner

Il Caduceo

RIVISTA DI AGGIORNAMENTO SCIENTIFICO E CULTURA MEDICA

USI pubblica la rivista trimestrale di aggiornamento scientifico e cultura medica “il Caduceo”. Le copie possono essere scaricate gratuitamente dal sito web.